Lily Mae Avant “se ha ido para estar con Jesús”, dijo a la cadena NBC Loni Yadon, tía de la niña que contrajo una ameba mortal que devoró su cerebro, un parásito común que vive en cuerpos de agua dulce.
La niña de 10 años, originaria de Texas, contrajo la infección mientras nadaba en el río Brazos, cerca de Waco (Texas), dijo su familia.
LEA TAMBIÉN: Pastor intentó seguir los pasos de Jesús y murió tras 20 días de ayuno
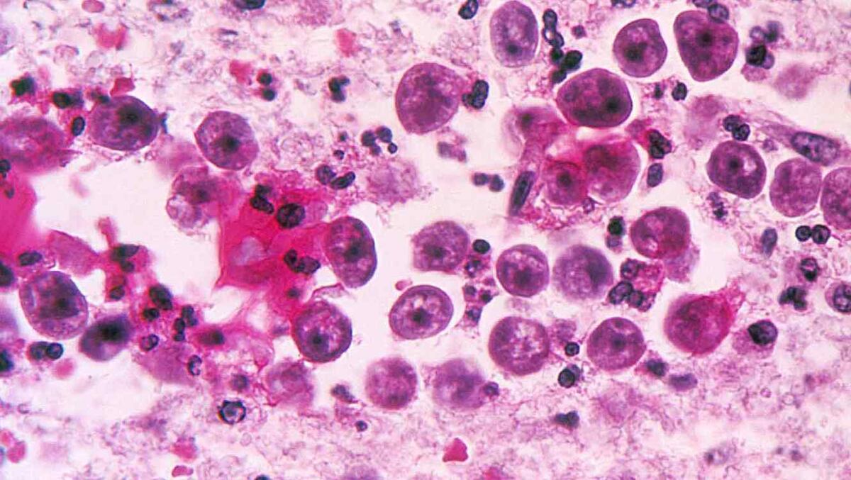
La ameba, un organismo unicelular de nombre científico Naegleria fowleri, también conocida como come cerebros, normalmente se encuentra en ríos, lagos, estanques y en la tierra, según el Centro para la Prevención y Control de enfermedades (CDC, en inglés).
Una semana después de haber nadado en las aguas del río, el 8 de septiembre, Avant empezó a sufrir una fiebre, según reportó la cadena NBC.
A pesar de que el organismo abunda en la naturaleza, las infecciones son muy raras, han dicho las autoridades.
LEA TAMBIÉN: ¡Emotivo! Celebró Navidad adelantada con sus hijos porque le quedan dos semanas de vida
Según el Departamento de Servicios de Salud del Estado de Texas, la Naegleria fowleri casi siempre es mortal y "puede infectar el cerebro cuando agua no tratada entra por la nariz, generalmente durante la natación u otra recreación acuática".


